Više zuba

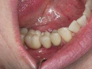
slika gore: prije cementiranja mosta

Kod nadoknade više zuba implantati, kao i prirodni zubi, služe kao nosači mostova. Nakon perioda oseointegracije (oko 3 mjeseca), pristupa se izradi mosta na implantatima.

Više zuba 2

 

 

 

 

slika poslije cementiranja mosta